閉じる

『ケサランパサラン モニプラ ファンサイト』

アクセスいただきありがとうございます。大変申し訳ございませんが、当ファンサイトは

モニプラ内でのサービスを終了させていただいております。

終了したイベント、モニターに関するお問い合わせは、下記までお願いいたします。

お問い合わせ先 ケサランパサラン モニプラ ファンサイト ケサランパサラン株式会社

注目の無料モニター・サンプル情報はコチラ! 

NEW

天然シルクのベールで天使の輪!潤い・輝き・しなやかさを与える髪の美容液「シルクモリンガヘアミスト(無香料)」20名様

合資会社ネプト・プランニング

20

11月25日(火)まで

プレゼント

天然シルクのベールで天使の輪!潤い・輝き・しなやかさを与える髪の美容液「シルクモリンガヘアミスト(無香料)」20名様

もっと見る

NEW

美容成分100%!?潤うクレンジング★界面活性剤無添加★世界初・美容成分100%!さとうきびスクワラン100%クレンジング

無添加工房OKADA

10

12月21日(日)まで

プレゼント

美容成分100%!?潤うクレンジング★界面活性剤無添加★世界初・美容成分100%!さとうきびスクワラン100%クレンジング

もっと見る

NEW

シャキッシュ 眠気ふっ飛ぶ爽快シート 10枚入のインスタ投稿モニター30名様募集!

株式会社マックス

30

5日前!

プレゼント

シャキッシュ 眠気ふっ飛ぶ爽快シート 10枚入のインスタ投稿モニター30名様募集!

もっと見る

【シミ対策】薬用美白ゲル「ビハククリア」★おハガキ返信モニター20名様

安心健康ライフ株式会社

20

1日前!

プレゼント

【シミ対策】薬用美白ゲル「ビハククリア」★おハガキ返信モニター20名様

もっと見る

もっとイベントを探してみる

8/14~9/10開催★プロが似合う眉とまつげをご提案!「顔の土台づくり」体験モニター大募集!

参加受付は終了いたしました。
またの参加をお待ちしております。

モニタープレゼント

顔の土台づくり

モニター数

20名

参加〆切

参加受付は終了いたしました

選考方法

選考   発表日: 8月13日(火)

ケサランパサラン株式会社からのメッセージ

こんにちは、ケサランパサランです!

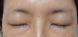
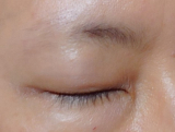
今回は、「メイクをする時もしない時も、いつもナチュラルなのにきれい」を叶える 『顔の土台づくり』のモニターを20名募集いたします!

◆『顔の土台づくり』とは? プロが顔型と目もとを分析し、お客様一人ひとりに合った眉とまつげのデザインをご提案。眉のカット&メイク、まつげエクステンションで瞬時に顔がすっきりはっきりします。 ◆当日の施術内容 カウンセリング▷顔立ち分析▷まつげエクステンション(リカバーデザイン)▷眉デザイン(眉カット+眉メイク)▷ぼんやり解消メイクアップ  ※メイクアップアドバイスシート付
さらに詳細はこちら▶
----------------------------------------------------------- 【募集内容】 下記対象店舗にて「顔の土台づくり」をご利用いただき、写真付きの感想を、「ブログ」または「Instagram」に投稿していただける方を募集致します。   対象店舗:ケサランパサラン博多阪急店(福岡県福岡市) または ケサランパサラン福岡三越店(福岡県中央区) または ケサランパサラン ららぽーとTOKYO-BAY店(千葉県船橋市) ※ご体験は、8月14日(水)~9月10日(火)の期間中、平日13:00~16:00、土日18:00~21:00の内90分で受けて頂きます。
数多くのご感想をいただけると、とても嬉しいです!

※お写真は何枚投稿していただいてもOKです。
※肖像権や著作権など権利関係を害するようなお写真はお控えください。
※ご投稿いただいた写真やコメントは販促物やサイト等で使用したり、
転用させていただいたりする場合がございますがご了承くださいませ。

-------------------------------------------------------------------------------------- ▼ ▼ ▼ ▼ ▼ ▼ ▼ ▼

皆様からのご応募、

心よりお待ちしております!

▼ ▼ ▼ ▼ ▼ ▼ ▼ ▼

 

友達にも紹介する

スマートフォン(iphone/Android)でも参加可能です。スマホでも参加できます

URLをメールで送る

 参加条件を満たす方が当選者より少ない場合、当選者数が所定の人数に満たないことがございます。
 予めご了承ください。

モニタープレゼント内容

顔の土台づくり

現品 

メイクをする時もしない時も、
いつもナチュラルなのにきれい。

眉とまつげをデザインする「顔の土台づくり」。
眉のカット&メイク、まつげエクステンションで瞬時に顔がすっきりはっきりします。

参加したみんなの投稿

Kesalan Patharan   <Flower&Dining Producer 加東亜希子 公式サイト>ライフスタイルインフルエンサー&食空間プロデューサー 加東亜希子の「華のあ… 2019/09/19

プロが似合う眉とまつげをご提案!「顔の土台づくり」 の体験モニター 2019/09/18

すべて見る

企業紹介

ケサランパサラン株式会社

ケサランパサランは、まつげエクステンションや眉デザイン、メイクアップで、一人ひとりの「なりたい」を叶えるフェイスデザインの専門店です。全国の百貨店など29店舗で展開しています。

美容・美白・コスメ のイベント(商品モニター募集・無料サンプル・試供品情報)を探す